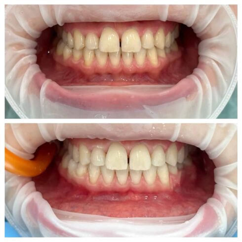
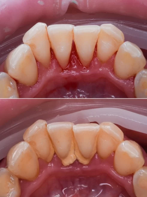
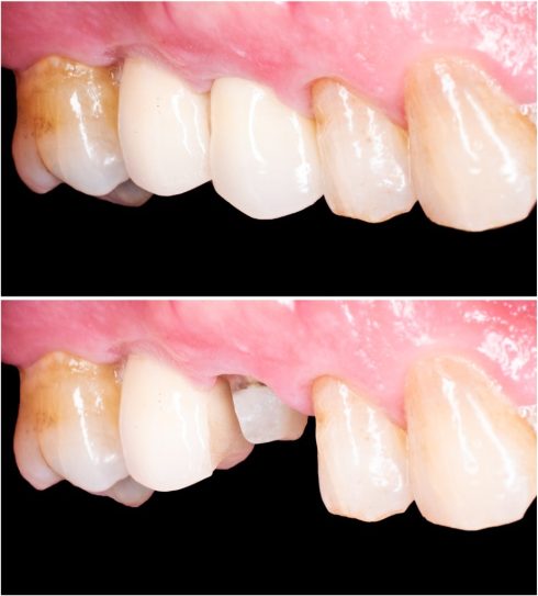
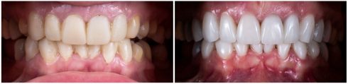
Înainte și după
La Crident, știm cât de important este un zâmbet sănătos și frumos.
Îți prezentăm câteva dintre transformările remarcabile obținute prin tratamente de stomatologie estetică în Cluj-Napoca. Fiecare imagine reflectă dedicarea și profesionalismul echipei noastre.




























































