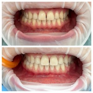
Un zâmbet alb transmite încredere și vitalitate. La Crident Cluj-Napoca, oferim albire dentară profesională, sigură și eficientă, cu rezultate vizibile de la prima ședință.
Folosim metode moderne, controlate de medic, care respectă smalțul și oferă o nuanță naturală, personalizată. Procedura este rapidă, nedureroasă și ideală dacă îți dorești un refresh estetic sau pregătirea pentru un eveniment important.
Vrei să beneficiezi de servicii stomatologice de calitate?
O albire dentara este un tratament cosmetic dentar care implică îndepărtarea petelor și a decolorărilor de pe suprafața dinților, astfel încât aceștia să fie mai albi și mai strălucitori. Cu toții am observat că dinții noștri devin mai galbeni cu trecerea timpului, acum putem să combatem acest lucru foarte simplu și rapid cu ajutorul manoperei de albire dentara.
De ce albire dentara?
Dinții mai albi și mai strălucitori pot face o mare diferență în aspectul zâmbetului și pot face ca o persoană să se simtă mai atrăgătoare și mai sigură pe sine. În plus,o albire dentara poate fi o soluție eficientă pentru îndepărtarea petelor și decolorărilor cauzate de alimente, băuturi sau obiceiurile de fumat. De asemenea, albirea dentară este o procedură relativ simplă și nedureroasă, care poate fi efectuată de către dentist în cabinetul stomatologic, sau prin intermediul produselor de albire dentară pe care le puteți utiliza acasă. În general, alegerea albirii dentare poate fi un pas mic, dar semnificativ, în îmbunătățirea aspectului și a sănătății dentare generale.
3 metode pentru albire dentara
Albire dentara în cabinetul stomatologic
Aceasta este o procedură efectuată de către un dentist, care implică aplicarea unui gel de albire de peroxid de hidrogen care are o anumită concetrație pentru fiecare pacient, acest gel se va aplica pe suprafața dinților împreună cu o barieră protectoare pentru gingie, această barieră va preveni ca gelul să ajungă la nivelul gingiilor și să le afecteze. Albirea dentară se va realiza cu ajutorul unei surse de lumină specială pentru a activa gelul, această sursă de lumină va veni de la o lampă specială numită bineînțeles lampă de albire.
La Crident această procedura durează aproximativ o oră și poate fi completată într-o singură ședință. După o oră zâmbetul tău va fi mai alb și mai frumos.
Indicații după albire dentara: https://crident.ro/indicatii-dupa-albirea-dentara/
Utilizarea kit-urilor de albire dentara acasă
Aceasta implică utilizarea unui kit de albire dentara acasă, care conține un gel de albire și set de gutiere pentru dinți. Pacientul trebuie să poarte gutierele cu gelul de albire timp de câteva ore pe zi, timp de câteva săptămâni, pentru a obține rezultatele dorite. Deci este un tratament de lungă durată care necesită cooperarea pacientului pe o perioadă mai lungă de timp.
Utilizarea benzilor de albire dentara
Aceasta implică utilizarea benzilor de albire dentara care se aplică pe dinți și se lasă să acționeze timp de câteva ore. Acestea pot fi cumpărate fără prescripție medicală și sunt considerate mai puțin eficiente decât celelalte metode. Pe lângă eficiența scăzută, aceste benzi pot să cauzeze arsuri la nivelul gingiei dacă nu sunt folosite corect.
Dacă vă doriți un zâmbet mai alb vă sfătuim să cereți sfatul unui medic dentist înainte de a lua o decizie.
6 pași pentru albire dentară
Procesul de albire dentara poate varia în funcție de tipul de procedură pe care o alegeți. În general, următorii pași pot fi urmați pentru a realiza albirea dentară:
1
Consultație cu medicul dentist
Înainte de a începe procesul de albire dentară, trebuie să vă adresați medicului stomatolog pentru a determina dacă sunteți un candidat bun pentru această manoperă și pentru a alege care este cea mai bună variantă de tratament pentru tine.
2
Igienizarea profesională a dinților
Înainte de albirea dentara, dentistul va efectua o igienizare profesională care include detartraj, periaj și/sau airflow, pentru a elimina placa bacteriană, tartrul și petele. Această manoperă îmbunătățește eficacitatea tratamentului și reduce riscul iritării gingiilor. Se efectuează într-o ședință separată de albirea dentară pentru a da gingiilor timp să se vindece.
3
Protejarea gingiilor
Pentru a proteja gingiile și a reduce riscul de iritații, medicul dentist va utiliza o barieră de protecție sau va aplica un gel protector pe gingii înainte de a începe procesul de albire dentară.
4
Aplicarea soluției de albire dentara
Pentru procedura de albire dentară se va aplica un gel de albire pe dinți, care va fi activat prin utilizarea unei surse de lumină cum este lampa de albire.
5
Îndepărtarea gelului de albire dentara de pe dinți
După ce soluția de albire a fost aplicată pe dinți, a fost activată și a stat atât cât este necesar, medicul va îndepărta gelul și va curăța dinții pentru a elimina orice reziduu.
6
Verificarea rezultatelor
După finalizarea procedurii, medicul va verifica culorile dinților pentru a determina cât de mult a fost îmbunătățită albirea. În cazul în care este necesar, procedura poate fi repetată pentru a obține rezultate mai bune.
Care sunt contraindicațiile pentru albire dentara?
Există anumite contraindicații pentru albirea dentară, unele dintre acestea fiind:
Dinti sensibili: Dacă aveți dinti sensibili sau alte probleme dentare, cum ar fi carii sau gingivită, trebuie să vă adresați medicului stomatolog înainte de a începe procesul de albire dentară.
Vârstă de sub 18 ani: Albirea dentară nu este recomandată pentru persoanele sub vârsta de 18 ani deoarece dintii lor pot fi încă în curs de dezvoltare.
Femeile însărcinate sau care alăptează: Albirea dentară nu este recomandată femeilor însărcinate sau care alăptează, deoarece nu există suficiente cercetări pentru a stabili siguranța acestui proces în aceste situații.
Persoane cu alergii sau sensibilitate la produsele chimice: Dacă sunteți alergic sau aveți sensibilitate la anumite produse chimice, trebuie să evitați albirea dentară.
Persoanele cu restaurări dentare: Dacă aveți restaurări dentare, cum ar fi coroane, plombe sau fațete, acestea nu se vor schimba de culoare prin albirea dentară și ar putea fi necesare ajustări ulterioare pentru a le face să se potrivească cu noul ton de culoare al dinților albi.
Sursă: https://www.healthline.com/health/is-teeth-whitening-safe
| Estetică dentară | Preț (lei) |
|---|---|
| Albire profesională endodontică (internă) | 450 |
| Albire profesională în cabinet cu Lampa de Albire | 1500 |
| Aplicare de bijuterii dentare | 250 |
Întrebări frecvente
Cât de sigură este albirea dentară și care sunt riscuri implicate?
Albirea dentară este considerată sigură, dar poate exista un risc de sensibilitate dentară temporară și iritație a gingiilor. Este important să discutați cu dentistul dumneavoastră despre orice preocupări sau condiții medicale anterioare înainte de a începe procedura.
Cât de mult durează efectul albirii dentare și este necesară întreținerea regulată?
Efectul albirii dentare variază de la persoană la persoană și depinde de obiceiurile alimentare și de igiena orală. Întreținerea regulată, cum ar fi periajul zilnic și vizitele regulate la dentist, poate ajuta la menținerea dinților albi și strălucitori.
Cine poate beneficia cel mai mult de la albirea dentară și cine ar trebui să evite procedura?
Persoanele care au pete sau decolorări pe dinți și care doresc să își îmbunătățească aspectul zâmbetului lor pot beneficia cel mai mult de la albirea dentară. Cu toate acestea, persoanele cu gingii sensibile sau cu dinți prea subțiri sau cu afecțiuni dentare trebuie să discute cu dentistul lor înainte de a începe procedura
Care este diferența dintre albirea dentară profesională și cea efectuată acasă cu produsele de albire din farmacie?
Albirea dentară profesională se realizează în cabinetul stomatologic sub supravegherea dentistului și folosește soluții mai puternice și tehnici specializate pentru a obține rezultate mai bune. În schimb, produsele de albire din farmacie pot fi utilizate acasă, dar pot fi mai puțin eficiente și pot avea efecte secundare, cum ar fi sensibilitatea dentară.
Ce spun clienții despre noi
Clienții noștri sunt importanți, de aceea lucrăm cu mare atenție și profesionalism, iar asta se vede în cuvintele lor.
Hai să stabilim împreună planul tău de tratament
Sună la 0723 110 401, trimite un mesaj pe adresa contact@crident.ro sau solicită o programare.






